(一)课程教育内容: 1.结直肠癌概述; 
2.结直肠癌临床表现; 
3.结直肠癌检查方法; 
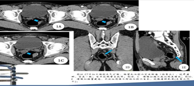
4.结直肠影像学表现; 
5.结直肠癌TNM分期及诊断方法。  
6.总结 
● 重点:不同TNM分期结直肠癌的影像学表现 ● 难点:结直肠癌TNM分期诊断方法 (二)教学方法 线上线下混合式教学:利用雨课堂教学软件: 1.线上匿名投票,让老师了解学生真实想法; 2.弹幕模式:与学生增加互动,营造良好沟通环境,学生随时提问,老师及时解答,告别教师独角戏的课堂模式。启发学生主动思考,一起参与到课堂中来。 3.视频展示:课前组织学生角色扮演就诊患者,并记录拍摄部分精彩片段用于课上展示。培养学生换位思考,帮助学生理解患者,尊重患者,真正懂得一名医务工作者所肩负得重要责任。 (三)信息化手段 通过互联网进行线上线下混合式教学,利用雨课堂教学软件丰富课堂教学手段,引到学生融入课堂,创造良好的学习氛围。 (四)思政内容: 1.“尊重生命,理解责任”:敬佑生命、救死扶伤、甘于奉献、大爱无疆。尊重和理解患者,将患者视为同一战壕的战友,与病魔斗争的战役中同进退。 2. “健康是革命的本钱”:革命尚未成功,同志仍需努力。年轻人不应忽视自身健康问题,为自己塑造健康地体魄,是拼搏奋斗的根本。 3.“思考-发言”:对于任何事物地理解不能只流于表面。影像学诊断是应用形态学方法,学生学习影像学诊断方法不应只关注表象,更要顺藤摸根,现象结合本质完成诊断。进而培养学生思考问题的能力,找到解决问题的能力。有主见有是非观,明理辨是非,不偏听不偏信不盲从,善思考,会发言。 |