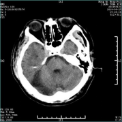
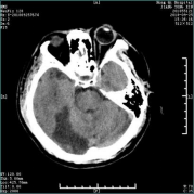
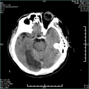
急性脑梗死的教学案例 专业知识 脑梗死(cerebral infarction,CI)又称缺血性脑卒中,是指各种原因所致脑部血液供应障碍,导致脑组织缺血、缺氧性坏死,而出现相应神经功能缺损的一类临床综合征。 案例 孙某,男,主因“发现言语不清、左侧肢体活动不灵1小时10分”入院。患者于14:30左右起床时发现言语含糊不清,吐字费力,口角歪斜,左侧肢体活动不灵,表现为左上肢无法抬起,左下肢无法行走,伴头晕,视物不适,无头痛,无恶心、呕吐,无视物旋转,无一过性黑矇,无意识障碍,无胸闷、气短。为求进一步诊治急来我院就诊。患者今日中午13:30睡午觉时无言语不清,无左侧肢体活动不灵。既往高血压病史10年余,平素血压最高达 210/120mmHg,未规律系统用药;否认心脏病、糖尿病病史。 查体:体温:36.5℃,血压:163/100mmHg,呼吸:20次/分,双肺呼吸音清,心率89次/分,腹软,双下肢无浮肿。神经系统查体:意识清,构音障碍,左侧瞳孔大约5.0mm,右侧瞳孔大约3.0mm,对光反射灵敏,水平眼震,左侧同向性偏盲,右侧头面部麻木,右侧周围性面瘫,伸舌居中,左上肢近端肌力2级,远端肌力2级;左下肢近端肌力3-级,远端肌力3-级,右侧肌力5级,四肢肌张力正常,腱反射(++),左侧Babinski(+),颈软,克氏征(-),NIHSS评分:9分。急查头部CT示:右侧枕叶低密度影。   
立刻按静脉溶栓准备给予采血、心电、血压、血氧监护、吸氧。考虑患者为缺血性卒中,发病在溶栓时间窗内,但右侧枕叶低密度考虑为近期梗塞,静脉溶栓有一定出血风险,与患者家属沟通病情,交代溶栓利弊、告知可能出现的风险及预后。征得同意后给予静脉溶栓治疗(DNT:40min)。进一步行多模CT检查,发现患者椎基底动脉存在明显狭窄,建议溶栓后行桥接动脉取栓,患者家属拒绝。溶栓后患者肢体力量较前好转,溶栓24小时后给予抗血小板聚集、调脂稳斑、改善循环治疗,监测并控制血压。病情稳定后康复锻炼。出院时患者一般状态较前明显好转,左侧同向性偏盲,右侧头面部麻木,左侧肢体肌力5-级,右侧肌力5级。NHISS评分:2分,生活能够自理,对患者进行卒中二级预防教育,后随访患者预后良好。 脑梗死是神经科常见病,起病急骤,尤以后循环梗死病情凶险。神经系统体格检查对定位诊断具有重要意义,辅助检查DWI、MRA、CTA、DSA可以明确梗死部位、责任血管,对治疗方案确定、判断患者预后意义重大。 脑梗死急性期治疗包括静脉溶栓及动脉取栓,需根据患者病情严重程度及经济条件选择合适治疗方法,向患者及家属告知最优的治疗方案、提前预判可能出现的问题是一个合格神经科医生的责任,而合理有效的沟通是前提。 通过本案例学习,使学生掌握脑梗死引起神经功能缺失的表现,回顾神经解剖,了解神经系统查体的重要性,通过给出患者CT及MRI的结果,识别早期脑梗死的影像表现,了解脑血管的解剖,学习椎基底动脉系统梗塞的表现。拓展静脉溶栓及桥接治疗的意义及风险。 融入的思政教育元素 树立以病人为中心和以人为本的理念;注重医患沟通,根据患者经济情况选择合适的治疗方法;注重团队合作;提高对卒中的认识。 选择脑梗死作为PBL讨论课,因为它给人类健康造成严重危害,致残、致死率高,给患者及其家庭带来沉重的负担。通过此案例旨在让医学生了解处理急性脑梗死病人时要以同理心对待,把“时间就是大脑”牢记心间,注重团队合作精神,通过与急诊科、影像科、检验科、康复科等通力合作,共同挽救患者生命。 静脉溶栓及桥接治疗均存在一定风险,作为医学生应当了解可能的风险,提前判断预后,与患者家属沟通时,掌握沟通技巧,提前告知可能出现的风险,重要决定前需签署知情同意书,当患者拒绝有风险处置时应尊重患者意愿。静脉溶栓或桥接等治疗方案需要考虑患者经济条件及患者意愿。 2020年10月29日是第15个世界卒中日,今年宣传主题是“医体融合,预防卒中”,口号是“科学运动,健康生活”。在人文方面探讨卒中的预防,倡导运动与医学防治相结合,更好地防治卒中,高科技提供生活便利的同时,让人们的体能运动大大减少,而生命在于运动,“四体不勤”势必会给健康带来隐患。运动作为预防卒中、强身健体的良好预防方式,人人皆可行,这与健康中国行动计划不谋而合。推动体育与全民健身加入,预防卒中的行动是世界卒中组织的呼吁,也是中国政府的要求。重视医体融合预防,以实际行动实现健康中国的伟大梦想。 |